Casos Clínicos






Rehabilitación Cerámica Estética Superior
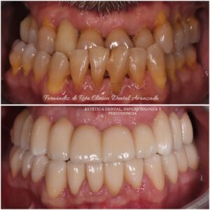
Paciente joven, con pánico al dentista que acude a nosotros con un problema estético y funcional importante. Presenta infecciones múltiples en diferentes dientes con gran destrucción.
| Cliente | J.M. Varón de 18 años |
|---|---|
| Odontólogo | Dr. J.J. Fernández de Rota Conde |
TÉCNICA REALIZADA:
Rehabilitación cerámica estética superior con coronas y carillas de disilicato fresada.
Al paciente tras realizarle un estudio radiográfico 3D, estudio fotográfico y análisis de modelos, procedimos a realizarle un Diseño Digital de la Sonrisa (DSD), con la intención de aumentar dimensión vertical, oclusión y por supuesto su sonrisa y autoestima.
TECNOLOGÍA EMPLEADA:
Tratamiento diseñado y realizado con tecnología totalmente digital de alta precisión. Los modelos de estudio y de trabajo, fueron registrados digitalmente con nuestro escáner intaraoral 3Shape.
Los programas usados para el diseño de la sonrisa fueron: DIGITAL SMILE DESIGN (DSD) y EXOCAD.
Las carillas y las coronas son de disilicato fresada de Ivoclar.